Екатеринбург, цвергшнауцер Бэст, 9 месяцев
потеряшка из Ревды
- Автор
- Сообщение
-
Не в сети
- Сообщения: 12268
- Зарегистрирован: 02 ноя 2017, 12:27
- Откуда: Санкт-Петербург
- Благодарил (а): 6153 раза
- Поблагодарили: 23436 раз
Екатеринбург, цвергшнауцер Бэст, 9 месяцев
Вот пост https://vk.com/wall-72498159_212487
3 дня в кустах сидел цверг в Ревде, потом пост сделали, потом Лиза из Екатеринбурга съездила за ним, едет в ветклинику.
Зубы в 2 ряда, молочные не выпали еще. Клеймо не нашла.
Лапа сломана, похоже.
Весь в клещах и колтунах.
Понос.
Оставит его сегодня в ветклинике.
3 дня в кустах сидел цверг в Ревде, потом пост сделали, потом Лиза из Екатеринбурга съездила за ним, едет в ветклинику.
Зубы в 2 ряда, молочные не выпали еще. Клеймо не нашла.
Лапа сломана, похоже.
Весь в клещах и колтунах.
Понос.
Оставит его сегодня в ветклинике.
_________________
Добрым словом и пистолетом можно добиться гораздо большего, чем просто добрым словом.
Добрым словом и пистолетом можно добиться гораздо большего, чем просто добрым словом.
-
Не в сети
- Сообщения: 1751
- Зарегистрирован: 27 апр 2012, 17:25
- Откуда: СПб
- Благодарил (а): 4403 раза
- Поблагодарили: 2561 раз
Re: Ревда, цверг со сломанной лапой
Миттель или цверг?
_________________
Лучше шнауцера только три шнауцера....(личный опыт)
Лучше шнауцера только три шнауцера....(личный опыт)
-
Не в сети
- Сообщения: 12268
- Зарегистрирован: 02 ноя 2017, 12:27
- Откуда: Санкт-Петербург
- Благодарил (а): 6153 раза
- Поблагодарили: 23436 раз
Re: Ревда, цверг со сломанной лапой
_________________
Добрым словом и пистолетом можно добиться гораздо большего, чем просто добрым словом.
Добрым словом и пистолетом можно добиться гораздо большего, чем просто добрым словом.
-
Не в сети
- Сообщения: 12268
- Зарегистрирован: 02 ноя 2017, 12:27
- Откуда: Санкт-Петербург
- Благодарил (а): 6153 раза
- Поблагодарили: 23436 раз
Re: Ревда, цверг со сломанной лапой
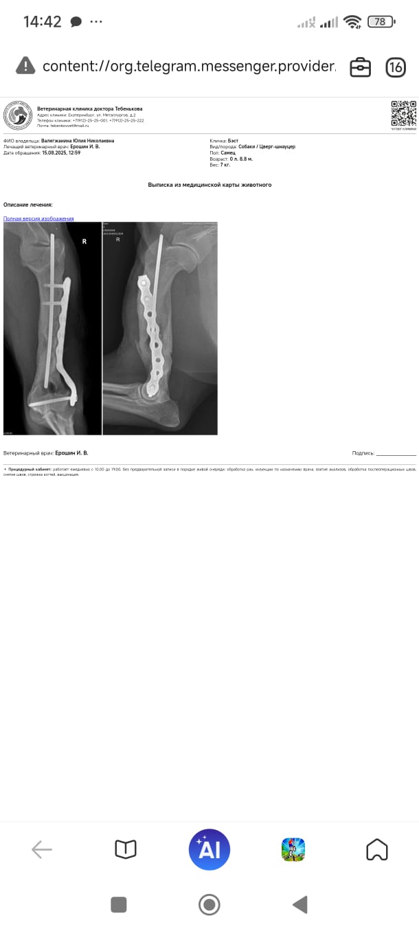
Лиза отвезла зверя к ортопеду на ещё одну консультацию.
Он сказал, что перелом несвежий, недели 2.
Возраст месяцев 8.
Сегодня оставили на операцию, поставят пластину, а завтра домой. Еще я попросила лишние зубы заодно вынуть.
Болтлив оч-чень, пищит, свистит, тявкает, не закрывая рта.
Все и всех вяжет на нервах.
Клещи все не кончаются, Лиза опять двух напившихся сняла сегодня. Вчера еще четыре было.
Анализы в регистратуре https://pet-help.ru/forum/viewtopic.php ... 13#p508513
Он сказал, что перелом несвежий, недели 2.
Возраст месяцев 8.
Сегодня оставили на операцию, поставят пластину, а завтра домой. Еще я попросила лишние зубы заодно вынуть.
Болтлив оч-чень, пищит, свистит, тявкает, не закрывая рта.
Все и всех вяжет на нервах.
Клещи все не кончаются, Лиза опять двух напившихся сняла сегодня. Вчера еще четыре было.
Анализы в регистратуре https://pet-help.ru/forum/viewtopic.php ... 13#p508513
_________________
Добрым словом и пистолетом можно добиться гораздо большего, чем просто добрым словом.
Добрым словом и пистолетом можно добиться гораздо большего, чем просто добрым словом.
-
Не в сети
- Сообщения: 12268
- Зарегистрирован: 02 ноя 2017, 12:27
- Откуда: Санкт-Петербург
- Благодарил (а): 6153 раза
- Поблагодарили: 23436 раз
Re: Ревда, цверг со сломанной лапой
Назвали малыша Бэст
Это вот он на прием приехал
https://rutube.ru/video/083a1a0bcf2012c ... 381f/?r=a/
Это вот он на прием приехал
https://rutube.ru/video/083a1a0bcf2012c ... 381f/?r=a/
_________________
Добрым словом и пистолетом можно добиться гораздо большего, чем просто добрым словом.
Добрым словом и пистолетом можно добиться гораздо большего, чем просто добрым словом.
-
Не в сети
- Сообщения: 3456
- Зарегистрирован: 29 окт 2011, 19:47
- Откуда: Санкт-Петербург
- Благодарил (а): 2285 раз
- Поблагодарили: 616 раз
Re: Ревда, цверг со сломанной лапой
_________________
От того, как ты посмотришь, зависит то, что ты увидишь!
От того, как ты посмотришь, зависит то, что ты увидишь!
-
Не в сети
- Сообщения: 12268
- Зарегистрирован: 02 ноя 2017, 12:27
- Откуда: Санкт-Петербург
- Благодарил (а): 6153 раза
- Поблагодарили: 23436 раз
Re: Ревда, цверг со сломанной лапой
Операцию сделали, завтра утром выдадут обратно.
Лапу надо беречь, прыжки исключать, поверхности не скользкие, нагрузки избегать.
Через 10 дней снимать швы, через полтора месяца контроль.
Доктор сказал, что такие старые оскольчатые переломы плохо срастаются.
Лапу надо беречь, прыжки исключать, поверхности не скользкие, нагрузки избегать.
Через 10 дней снимать швы, через полтора месяца контроль.
Доктор сказал, что такие старые оскольчатые переломы плохо срастаются.
_________________
Добрым словом и пистолетом можно добиться гораздо большего, чем просто добрым словом.
Добрым словом и пистолетом можно добиться гораздо большего, чем просто добрым словом.
-
Не в сети
- Сообщения: 12268
- Зарегистрирован: 02 ноя 2017, 12:27
- Откуда: Санкт-Петербург
- Благодарил (а): 6153 раза
- Поблагодарили: 23436 раз
Re: Ревда, цверг со сломанной лапой
Бэста выдали из клиники, операцию сделали, швы снимать через 10-12 дней и контрольный рентген через полтора месяца.
Купили лекарства и поехали выздоравливать.
Чеки здесь, медицина в регистратуре
Купили лекарства и поехали выздоравливать.
Чеки здесь, медицина в регистратуре
_________________
Добрым словом и пистолетом можно добиться гораздо большего, чем просто добрым словом.
Добрым словом и пистолетом можно добиться гораздо большего, чем просто добрым словом.
-
Не в сети
- Сообщения: 12268
- Зарегистрирован: 02 ноя 2017, 12:27
- Откуда: Санкт-Петербург
- Благодарил (а): 6153 раза
- Поблагодарили: 23436 раз
Re: Ревда, цверг со сломанной лапой
Фото страдальца.
Лиза ему побрила остальные лапы, так как там все в репьях и ему кололось. Бороду немного выстригла, немного разобрала.
Аппетит прекрасный
Корм всасывает за секунду, ест пока тот, который для Рекса присылали.
Получил сырое мясо, и его счавкал с удовольствием.
Лиза ему побрила остальные лапы, так как там все в репьях и ему кололось. Бороду немного выстригла, немного разобрала.
Аппетит прекрасный
Корм всасывает за секунду, ест пока тот, который для Рекса присылали.
Получил сырое мясо, и его счавкал с удовольствием.
_________________
Добрым словом и пистолетом можно добиться гораздо большего, чем просто добрым словом.
Добрым словом и пистолетом можно добиться гораздо большего, чем просто добрым словом.
-
Не в сети
- Сообщения: 12268
- Зарегистрирован: 02 ноя 2017, 12:27
- Откуда: Санкт-Петербург
- Благодарил (а): 6153 раза
- Поблагодарили: 23436 раз
Re: Ревда, цверг со сломанной лапой
02.07 симпарика
28.06 глистогонка Квантум
8,4 кг весит
28.06 глистогонка Квантум
8,4 кг весит
_________________
Добрым словом и пистолетом можно добиться гораздо большего, чем просто добрым словом.
Добрым словом и пистолетом можно добиться гораздо большего, чем просто добрым словом.
-
Не в сети
- Сообщения: 12268
- Зарегистрирован: 02 ноя 2017, 12:27
- Откуда: Санкт-Петербург
- Благодарил (а): 6153 раза
- Поблагодарили: 23436 раз
Re: Екатеринбург, цвергшнауцер Бэст, 9 месяцев
Вчера Бэст ездил к врачу.
Выписка в регистратуре, все идет по плану, через 6 недель контрольный рентген.
Бэсту нужна передержка, а лучше дом.
Лиза с ребёнком ложится в больницу 15-го на 2 недели, а потом уезжает в отпуск.
До конца июля, если что, муж с собаками справится, но дальше все равно надо съехать.
Выписка в регистратуре, все идет по плану, через 6 недель контрольный рентген.
Бэсту нужна передержка, а лучше дом.
Лиза с ребёнком ложится в больницу 15-го на 2 недели, а потом уезжает в отпуск.
До конца июля, если что, муж с собаками справится, но дальше все равно надо съехать.
_________________
Добрым словом и пистолетом можно добиться гораздо большего, чем просто добрым словом.
Добрым словом и пистолетом можно добиться гораздо большего, чем просто добрым словом.
-
Не в сети
- Сообщения: 12268
- Зарегистрирован: 02 ноя 2017, 12:27
- Откуда: Санкт-Петербург
- Благодарил (а): 6153 раза
- Поблагодарили: 23436 раз
Re: Екатеринбург, цвергшнауцер Бэст, 9 месяцев
Пришла посылка с кормом от Кати. Бэст передает спасибо нашим добытчицам и посетителям магазина "Бетховен"
_________________
Добрым словом и пистолетом можно добиться гораздо большего, чем просто добрым словом.
Добрым словом и пистолетом можно добиться гораздо большего, чем просто добрым словом.
-
Не в сети
- Сообщения: 8871
- Зарегистрирован: 10 ноя 2013, 22:36
- Благодарил (а): 570 раз
- Поблагодарили: 4745 раз
Re: Екатеринбург, цвергшнауцер Бэст, 9 месяцев
Сегодня Бэст поехал на испытательный срок в новую семью! Будет жить вместе с цвергшнауцером Олафом. Новые хозяева очень ответственные люди, приезжали два раза для знакомства, чтобы собаки подружились. Очень переживают. Пусть все у них сложится!
https://rutube.ru/video/6288d893bf33e04 ... 5e4f/?r=a/
А серый заяц даже заголосил, когда новая мама, уезжала в первый день.
Большое спасибо Лизе за заботу о Бэсте!
В ближайшее время запланирован поход к хирургу.
https://rutube.ru/video/6288d893bf33e04 ... 5e4f/?r=a/
А серый заяц даже заголосил, когда новая мама, уезжала в первый день.
Большое спасибо Лизе за заботу о Бэсте!
В ближайшее время запланирован поход к хирургу.
-
Не в сети
- Сообщения: 12268
- Зарегистрирован: 02 ноя 2017, 12:27
- Откуда: Санкт-Петербург
- Благодарил (а): 6153 раза
- Поблагодарили: 23436 раз
Re: Екатеринбург, цвергшнауцер Бэст, 9 месяцев
Новости Бэста:
1. Наталья Дмитриева навела среди Бэста красоту, спасибо большое!
2. Бэсту потихоньку снимают винты с лапы.
3. Бэст еще раз переехал в новый дом, так что считаем испытательный срок заново стартовал.
1. Наталья Дмитриева навела среди Бэста красоту, спасибо большое!
2. Бэсту потихоньку снимают винты с лапы.
3. Бэст еще раз переехал в новый дом, так что считаем испытательный срок заново стартовал.
_________________
Добрым словом и пистолетом можно добиться гораздо большего, чем просто добрым словом.
Добрым словом и пистолетом можно добиться гораздо большего, чем просто добрым словом.
-
Не в сети
- Сообщения: 12268
- Зарегистрирован: 02 ноя 2017, 12:27
- Откуда: Санкт-Петербург
- Благодарил (а): 6153 раза
- Поблагодарили: 23436 раз
Re: Екатеринбург, цвергшнауцер Бэст, 9 месяцев
Бэста теперь зовут Курт, что тоже прекрасно))Всё хорошо, освоился полностью, на кличку откликается, кушает, гуляет, дрессируется. Ко мне, сидеть, лежать уже неплохо выполняет. Энергии много выдержки мало, ребёнок ещё совсем. После прогулок лапы вытираем только пока вкусняшка во рту, а так огрызается прикусывает, причем такая реакция только когда тряпка в руках, без тряпочки можно любую лапу трогать. Видимо били его тряпкой
, но ничего мы терпеливые поборем. В общем пацан активный, к своим ласковый очень, мозги есть обучается хорошо.
_________________
Добрым словом и пистолетом можно добиться гораздо большего, чем просто добрым словом.
Добрым словом и пистолетом можно добиться гораздо большего, чем просто добрым словом.
-
Не в сети
- Сообщения: 12268
- Зарегистрирован: 02 ноя 2017, 12:27
- Откуда: Санкт-Петербург
- Благодарил (а): 6153 раза
- Поблагодарили: 23436 раз
Re: Екатеринбург, цвергшнауцер Бэст, 9 месяцев
У Курта все хорошо, прижился 
_________________
Добрым словом и пистолетом можно добиться гораздо большего, чем просто добрым словом.
Добрым словом и пистолетом можно добиться гораздо большего, чем просто добрым словом.